Skip to main content
Skip to main navigation menu
Skip to site footer
Open Menu
Home
Current
Archives
Editorial Board
About
About the Journal
Submissions
Publication Ethics and Policies
Instructions for authors
Guidlines for editors and reviewers
Peer review process
Journal Metrics
Privacy Statement
Indexing
Office
Contact
Search
Register
Login
Home
/
Archives
/
Vol. 13 No. 2 (2025): April-June issue
Vol. 13 No. 2 (2025): April-June issue
Published:
2025-04-06
THE EFFECT OF FOLIC AND SALICYLIC ACID ON GROWTH OF COTTON (Gossypium hirsutum L.) UNDER DROUGHT CONDITIONS
Mohammed Basheer Ismael, Diaa Ayoub Ibrahim
114-124
PDF
HTML
IMPACT OF COMMERCIAL STRIPED CATFISH (PANGASIANODON HYPOPHTHALMUS) FARMING ON FARMERS’ LIVELIHOOD AND ENVIRONMENT IN BANGLADESH
Khaleda Nasrin, Yeamin Hossain
125-139
PDF
HTML
NUTRITIONAL/CHEMICAL CONSTITUENTS, GROWTH PERFORMANCE AND ANTHROPOMETRIC ANALYSIS OF ADANSONIA DIGITATA LEAVE-BASED DIET IN FEMALE RATS
Oyegoke Rukayat Abiodun, Abdulwahab, Amina Abebi, Musa , Fasilat Jumoke, Osifade , Jahswill Toluwaninmi, Nafiu, Mikhail Olugbemiro, Moronfolu, Ibrahim Adeola
140-149
PDF
HTML
ANTIBACTERIAL ACTIVITY OF SILVER NANOPARTICLES SYNTHESIZED BY HYDROTHERMAL TECHNIQUE
Shireen Taily Abduljabbar, Tariq Abdul-Hameed Abbas
150-160
PDF
HTML
PHOTOCATALYTIC DEGRADATION OF FAST GREEN DYE IN AQUEOUS SOLUTION USING TITANIUM DIOXIDE AS PHOTOCATALYST
Reving A. Rashid, Akram A. Haji, Idrees S khalo
161-165
PDF
HTML
BROWN SEAWEED (Sargassum ilicifolium) AS A NUTRITIONAL SUPPLEMENT: EFFECTS ON GROWTH AND HEMATOLOGY IN Labeo rohita
Rafia Zulfiqar, Farkhanda Asad, Basim. S. A. Al Sulivany, Saba Naseer, Irtisha Kanwal, Aiman Nadeem, Muhammad Owais
166-171
PDF
HTML
EFFECT OF HUMIC ACID, SEAWEED EXTRACTS AND ORGANIC FERTILIZER ON YIELD QUALITY OF BROCCOLI (Brassica oleracea) GROWN UNDER PLASTIC HOUSE
Salih Farhan Ismael, Taha Zubeir Sarhan
172-178
PDF
HTML
MOLECULAR DETECTION OF DRUG-RESISTANT GENES AMONG Clostridioides difficile FROM DIARRHEIC CHILDREN IN DUHOK CITY -IRAQ
Bakhtyar Nader Ali
179-184
PDF
HTML
AN IMPROVED DEEP LEARNING TECHNIQUE FOR SPEECH EMOTION RECOGNITION AMONG HAUSA SPEAKERS
Martins E Irhebhude, Adeola O Kolawole, Mujtaba K Tahi
185-196
PDF
HTML
THE ROLE OF SILICA NANOPARTICLES IN MODULATING GROWTH PERFORMANCE, ENZYME ACTIVITY, AND HEAVY METAL ACCUMULATION IN MUSCLE TISSUE OF COMMON CARP (Cyprinus carpio. L)
Muhammad Owais, Dilsher Ahmed Mohammed, Husni A Mhammad, Basim S A Al Sulivany, Seval Dernekbaşı, Rana Meroz Fazal
197-205
PDF
HTML
A CHECKLIST OF VASCULAR PLANTS OF THE GARMIAN REGION IN KURDISTAN, IRAQ
Ahmed Habeeb Hameed, Saman A Ahmad
206-227
PDF
HTML
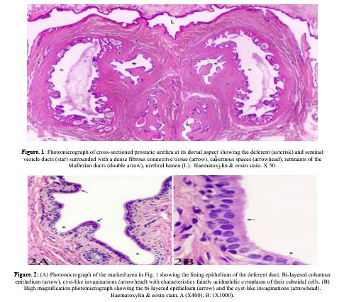
MORPHOLOGICAL AND HISTOLOGICAL ANALYSIS OF MALE DONKEY REPRODUCTIVE DUCTS: FROM DEFERENT DUCTS TO EJACULATORY PATHWAYS
Alaa Abou-Elhamd
228-233
PDF
HTML
LCD: IDENTIFYING INFLUENTIAL NODES IN COMPLEX NETWORKS WITH LAYERED CLUSTERING AND DEGREE
Abdulhakeem Othman Mohammed
234-243
PDF
HTML
COMPARATIVE ANTIMICROBIAL EFFICACY OF LAVENDER AND MINT ESSENTIAL OILS: A PROMISING ALTERNATIVE FOR VETERINARY APPLICATIONS
Nawzat Aboziad Issa, Renas Ihsan Abdulkarim
244-251
PDF
HTML
LEVERAGING MACHINE LEARNING METHODS IN PREDICTING AND ANALYZING THE ASSOCIATION BETWEEN DIETARY INFLAMMATORY INDEX AND ALOPECIA
Mohammed Sarwat M Salih, Hawal Lateef Fateh, Soran Abdulkarim Pasha , Hassan M Tawfiq
252-261
PDF
HTML
KNEE OSTEOARTHRITIS STAGE CLASSIFICATION BASED ON HYBRID FUSION DEEP LEARNING FRAMEWORK
Delveen Luqman Abd Alnabi, Shereen sh. Ahmed, Nisreen Luqman Abd Alnabi
262-278
PDF
HTML
Make a Submission
News & Announcement
Author Guidelines
Peer Review
Reviewers
Focus and Scope
Publication Ethics
Copyright Notice
Author(s) Fee
Plagiarism and AI Policy
Science journal of University of Zakho
p-ISSN: 2663-628X,
e-ISSN: 2663-6298
DOI:
doi.org/10.25271/sjuoz
Download Article Template
Indexing / Member in
Read More about indexing
Information
For Readers
For Authors
For Librarians
Most Read Articles
DEEP LEARNED FEATURE TECHNIQUE FOR HUMAN ACTION RECOGNITION IN THE MILITARY USING NEURAL NETWORK CLASSIFIER
270
The Kurdish Language Corpus: State of the Art
257
The Zero Divisor Graph of the Ring Zqp.
241
One-Pot Synthesis, Pharmacological Evaluation, Docking Study, and DFT Calculations for Selected Imidazolidine-2,4-Diones
200
Applying the Binary Logistic Regression Analysis on The Medical Data
197
Keywords
Time to first decision (10-20) days
Current Issue
Browse
Developed By
Open Journal Systems